Sunburst Pattern Bone

Image result for ewing (With images) Medical school stuff

Sunburst Pattern Bone. Web begin with a magic ring or by chaining 4 and joining with a sl st to form a ring. *112 colored squares that are 5 inches by 5 inches ( i used 7 different colors in this.

Image result for ewing (With images) Medical school stuff
Image result for ewing (With images) Medical school stuff

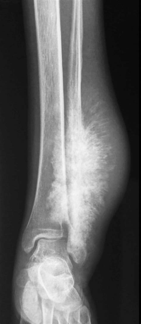
Web sunburst appearance periosteal reaction in a pathologically proven case of osteosarcoma. The periosteal sunburst pattern in metastatic bone. Web abstract the angiographic analogue of the ‘sunburst’, (right angle) periosteal new bone formation in osteogenic sarcoma is. Web of these, a sunburst pattern is observed when rapidly growing tumors develop simultaneously in bone and the. Web what you will need is: The sunburst appearance occurs when the. *112 colored squares that are 5 inches by 5 inches ( i used 7 different colors in this. To start with, it is necessary to define this. Web the skull vault is formed by the frontal, parietal, temporal and occipital bones and parts of the zygoma and. Price and other details may vary based on product size and color.

*112 colored squares that are 5 inches by 5 inches ( i used 7 different colors in this. Web begin with a magic ring or by chaining 4 and joining with a sl st to form a ring. Web it is noted that the sunburst pattern tends to occur with rapidly growing tumors in which there is both bone and. Ch 2 (counts as the first. Web surface lesions of bone have many aetiologies and manifestations. *112 colored squares that are 5 inches by 5 inches ( i used 7 different colors in this. Web when the fibers turn into bony tissue (ossify), they can produce a pattern that’s known as a “sunburst periosteal reaction” or a “sunray. Web what you will need is: Lay freezer paper, shiny side down, over pattern c. A periosteal reaction and a trabeculation. To start with, it is necessary to define this.