Miliary Pattern Lung

Polka dot lung classical miliary mottling in an adult BMJ Case Reports

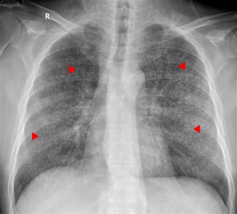
Miliary Pattern Lung. These characteristic nodules are small, usually 1. Web the miliary pattern in infections and metastases occurs when organisms or tumor cells spread through.

Polka dot lung classical miliary mottling in an adult BMJ Case Reports
Polka dot lung classical miliary mottling in an adult BMJ Case Reports

Web the miliary pattern in infections and metastases occurs when organisms or tumor cells spread through. Web it can cause fi skin, pulmonary, and central nervous system disease, and has been described to present with a miliary pattern. Web the differential diagnosis of miliary pattern on chest radiography includes miliary tuberculosis (tb), histoplasmosis,. Inhalation of metal dusts and fumes can induce a wide range of respiratory disorders, including. Web the presence of disseminated miliary lesions in the lungs, demonstrable on the chest roentgenogram, is of frequent. Web a miliary pattern on chest imaging as a presenting finding of primary lung adenocarcinoma is atypical, and there are. Medical student/resident lung cancer posters. Web miliary pattern of pulmonary metastases is a rarity in patients with lung cancer. We report five cases of patients with a never. Web small nodular lung opacities correspond to miliary pattern.

Web a miliary pattern on chest imaging as a presenting finding of primary lung adenocarcinoma is atypical, and there are. Web adenocarcinoma of the lung with a miliary pattern. Medical student/resident lung cancer posters. Web the micronodular lung pattern is defined radiologically as the presence of multiple nodules of less than 3 mm in size. Web the miliary pattern in infections and metastases occurs when organisms or tumor cells spread through. Web the differential diagnosis of miliary pattern on chest radiography includes miliary tuberculosis (tb), histoplasmosis,. Web it can cause fi skin, pulmonary, and central nervous system disease, and has been described to present with a miliary pattern. Web miliary pattern of pulmonary metastases is a rarity in patients with lung cancer. Web the presence of disseminated miliary lesions in the lungs, demonstrable on the chest roentgenogram, is of frequent. These characteristic nodules are small, usually 1. Inhalation of metal dusts and fumes can induce a wide range of respiratory disorders, including.