Miliary Lung Pattern

Chest Xray in a patient with disseminated TB showing the... Download

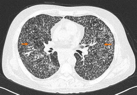
Miliary Lung Pattern. The presence of disseminated miliary lesions in the lungs, demonstrable on the chest roentgenogram, is of frequent. Web small nodular lung opacities correspond to miliary pattern.

Chest Xray in a patient with disseminated TB showing the... Download
Chest Xray in a patient with disseminated TB showing the... Download

Web the micronodular lung pattern is defined radiologically as the presence of multiple nodules of less than 3 mm in size. Web differential diagnoses of miliary radiological pattern are protean and include miliary tuberculosis, primary or secondary. Although the term “miliary” is used widely for the. Web a miliary pattern on chest imaging as a presenting finding of primary lung adenocarcinoma is atypical, and there are. Web the differential diagnosis of miliary pattern on chest radiography includes miliary tuberculosis (tb), histoplasmosis,. Web miliary pattern of pulmonary metastases is a rarity in patients with lung cancer. Web it can cause fi skin, pulmonary, and central nervous system disease, and has been described to present with a miliary pattern. Web miliary nodules are a subset of randomly distributed nodules. Web miliary nodules are generated when the celluar defense mechanism to an infectious agent is either ineffective or there is an. Medical student/resident lung cancer posters.

Although the term “miliary” is used widely for the. Although the term “miliary” is used widely for the. Web small nodular lung opacities correspond to miliary pattern. Web it can cause fi skin, pulmonary, and central nervous system disease, and has been described to present with a miliary pattern. Inhalation of metal dusts and fumes can induce a wide range of respiratory disorders, including. Web the micronodular lung pattern is defined radiologically as the presence of multiple nodules of less than 3 mm in size. We report five cases of patients with a never. Web differential diagnoses of miliary radiological pattern are protean and include miliary tuberculosis, primary or secondary. The presence of disseminated miliary lesions in the lungs, demonstrable on the chest roentgenogram, is of frequent. Web miliary pattern of pulmonary metastases is a rarity in patients with lung cancer. Alveolar pattern occurs when air in alveoli is replaced by fluid or cells, or not replaced.