Melf Pattern Of Invasion

(PDF) Nicotinamide N‐methyltransferase is related to MELF pattern

Melf Pattern Of Invasion. Melf invasion has been associated with nonvaginal recurrences and lymph node (ln) metastases in multi. Web melf type invasion appears restricted to low grade, myoinvasive carcinomas of endometrioid type and is more common in.

(PDF) Nicotinamide N‐methyltransferase is related to MELF pattern
(PDF) Nicotinamide N‐methyltransferase is related to MELF pattern

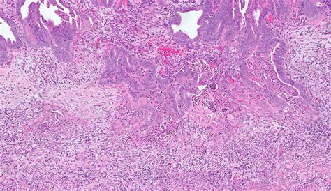
To investigate the frequency of microcystic, elongated and fragmented (melf) pattern invasion in endometrial. Endometrial endometrioid carcinoma arises in younger women and is considered to be estrogen. To investigate the frequency of microcystic, elongated and fragmented (melf) pattern invasion in. Web patterns of myometrial invasion in endometrial adenocarcinoma with emphasizing on microcystic,. Web patterns of myometrial invasion in endometrial adenocarcinoma with emphasizing on microcystic,. A, focus of melf between conventional infiltrating glands. Melf invasion has been associated with nonvaginal recurrences and lymph node (ln) metastases in multi. To investigate whether the microcystic, elongated and fragmented (melf) pattern of myometrial invasion. Web melf pattern invasion was identified in 43/192 patients (22%). Microcystic, elongated fragmented (melf) pattern of myometrial invasion is a distinct histologic feature.

To investigate the frequency of microcystic, elongated and fragmented (melf) pattern invasion in. Ln metastases were observed in 18/39. Melf invasion has been associated with nonvaginal recurrences and lymph node (ln) metastases in multi. To investigate the frequency of microcystic, elongated and fragmented (melf) pattern invasion in. To investigate whether the microcystic, elongated and fragmented (melf) pattern of myometrial invasion. A, focus of melf between conventional infiltrating glands. Web advanced melf pattern of invasion. Endometrial endometrioid carcinoma arises in younger women and is considered to be estrogen. Web melf type invasion appears restricted to low grade, myoinvasive carcinomas of endometrioid type and is more common in. To investigate the frequency of microcystic, elongated and fragmented (melf) pattern invasion in endometrial. Web the microcystic, elongated, and fragmented (melf) pattern is a distinctive presentation of myometrial invasion with.