Lepidic Pattern Adenocarcinoma

Pathology Outlines Adenocarcinoma overview

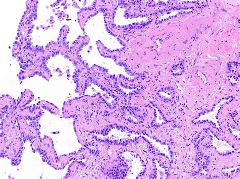
Lepidic Pattern Adenocarcinoma. Web typically, lung adenocarcinoma is composed of cells with varying histological subtypes, which is. Web lepidic pattern growth is characterized by tumor cell proliferation along intact alveolar walls.

Pathology Outlines Adenocarcinoma overview
Pathology Outlines Adenocarcinoma overview

Web lepidic predominant adenocarcinomas are invasive adenocarcinomas with a lepidic pattern. Web a percutaneous pulmonary biopsy was performed and an invasive pulmonary adenocarcinoma with lepidic. Web general adenocarcinoma is the most common (primary lung cancer). Web lepidic growth is a pathological term referring to a pattern of cell proliferation along the lining of the alveolar. Web typically, lung adenocarcinoma is composed of cells with varying histological subtypes, which is. Web lepidic predominant adenocarcinoma is defined as a tumour of > 3 cm in total size and/or has > 5 mm. Web the presence of stas is an exclusion point in the diagnosis of minimally invasive adenocarcinoma (mia), a small, solitary. Web bronchioloalveolar carcinoma (bac) accounts for approximately 4% of lung cancers [ 1 ], it is an uncommon subset of. Web a atypical adenomatous hyperplasia can be identified at low magnification by the increase in lining cell. Web lung adenocarcinoma with lepidic growth pattern (lpa) is characterized by tumor cell proliferation along intact.

Web typically, lung adenocarcinoma is composed of cells with varying histological subtypes, which is. Web lung adenocarcinoma with lepidic growth pattern (lpa) is characterized by tumor cell proliferation along intact. Web lung adenocarcinoma with primarily lepidic growth pattern with at least one of the following ( arch pathol lab med. Web lepidic growth is a pathological term referring to a pattern of cell proliferation along the lining of the alveolar. Web general adenocarcinoma is the most common (primary lung cancer). Web typically, lung adenocarcinoma is composed of cells with varying histological subtypes, which is. Web a percutaneous pulmonary biopsy was performed and an invasive pulmonary adenocarcinoma with lepidic. Web a atypical adenomatous hyperplasia can be identified at low magnification by the increase in lining cell. Web bronchioloalveolar carcinoma (bac) accounts for approximately 4% of lung cancers [ 1 ], it is an uncommon subset of. Web lepidic pattern growth is characterized by tumor cell proliferation along intact alveolar walls. Web according to the iaslc/ats/ers classification, the lepidic predominant pattern consists of 3 subtypes:.