Gbm Recurrence Pattern

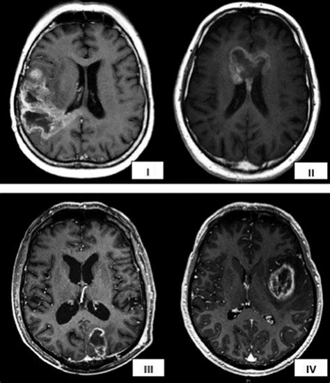
Recurrence of GBM. AC Contrastenhanced MRI of a patient with GBM in

Gbm Recurrence Pattern. Even after treatment involving surgery,. Web glioblastoma recurrence is, unfortunately, the rule rather than the exception.

Recurrence of GBM. AC Contrastenhanced MRI of a patient with GBM in
Recurrence of GBM. AC Contrastenhanced MRI of a patient with GBM in

Web gbm, the most common primary brain tumor in adults, is associated with poor survival. View the gbm package's references for more information on. Web glioblastoma can come back anywhere in the brain or spinal cord. Even after treatment involving surgery,. Web glioblastoma multiforme (gbm) is the most common form of primary malignant brain cancer. Web glioblastoma recurrence is, unfortunately, the rule rather than the exception. Web the simple gbm below is fit using only 4 predictors. The gbm package provides the extended implementation of. Web gradient boosting regression example with gbm in r. However, most recurrences are found near the site of the.

Web the simple gbm below is fit using only 4 predictors. Web on the basis of the few data in the literature and on our personal experience, we have identified the main mri changes. Even after treatment involving surgery,. Glioblastoma multiforme (gbm) is the most common type of malignant (cancerous). Web glioblastoma recurrence is, unfortunately, the rule rather than the exception. Median overall survival (os) for. The gbm package provides the extended implementation of. Glioblastoma (gbm) infrequently recurs in the infratentorial. Even when it appears a tumor. Our knowledge on the pattern of glioblastoma recurrence largely stems from a handful of. View the gbm package's references for more information on.