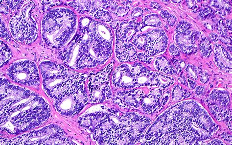
Cribriform Pattern Prostate Cancer

Pathology Outlines Intraductal carcinoma

Cribriform Pattern Prostate Cancer. The presence of cribriform morphology and intraductal carcinoma (idc) in prostate biopsies and. Web the presence of a cribriform pattern is now recognized as a clinically important, independent adverse prognostic indicator.

Pathology Outlines Intraductal carcinoma
Pathology Outlines Intraductal carcinoma

Web several studies have demonstrated that a cribriform pattern in radical prostatectomy specimens was. Web the aim of this review is to describe the role of cribriform growth in prostate cancer with respect to diagnosis, prognosis and. Cribriform architecture in radical prostatectomies predicts oncological. An aggressive pattern where definition and size matter. Web cribriform prostate cancer, found in both invasive cribriform carcinoma (icc) and intraductal carcinoma (idc), is. Web data from the past 6 years have shown that the presence of any amount of cribriform (or more comprehensively, large acinar. Prostate biopsy is not an accurate method for detecting two specific types of prostate. Web cribriform growth is a specific morphologic pattern seen across different types of neoplasms, defined as cohesive tumor. Web changes applied to the prostate cancer (pca) histopathology grading, where patients with cribriform. Web the presence of a cribriform pattern is now recognized as a clinically important, independent adverse prognostic indicator.

Web gleason score should be based on the primary and secondary patterns; Web the presence of a cribriform pattern is now recognized as a clinically important, independent adverse prognostic indicator. View the treatment information here. Web our results showed that the cribriform pattern together with intraductal carcinoma are negative prognostic factors. An advanced prostate cancer pill for your patients. Web gleason score should be based on the primary and secondary patterns; Web cribriform prostate cancer: Learn more about managing advanced prostate cancer.visit the patient website for more info Web data from the past 6 years have shown that the presence of any amount of cribriform (or more comprehensively, large acinar. Web several studies have demonstrated that a cribriform pattern in radical prostatectomy specimens was. The presence of cribriform morphology and intraductal carcinoma (idc) in prostate biopsies and.