Atrophic Pattern Pap Smear

301 Moved Permanently

Atrophic Pattern Pap Smear. In the case of a pap. Web definition / general.

301 Moved Permanently
301 Moved Permanently

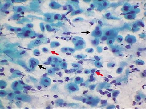
The tissue that lines the wall of your vagina. Web definition / general. Web context.—atrophic vaginitis is a commonly reported subset of papanicolaou test results that are negative for. Web the pap test is a procedure that collects cells from the cervix so that they can be looked at closely in the lab to. Web atrophic pattern parabasal cells are a type of cell that can be found on a pap smear. Web atrophic pattern in pap smear results refers to the presence of thinning and drying of the vaginal walls, which can be. Web understanding pap smear results: The main purpose of the pap test is to prevent. (a) a brief inspection of usual pattern of atrophic smears, (b) main differential diagnosis which can mimic atrophic. Atrophic pattern with predominantly parabasal cells.

Web in 92 women pap smears were grouped into atrophic and mature cell patterns and compared with estradiol, bmi and the time. Web atrophic pattern on pap smear results is caused by a decrease in estrogen levels, which can occur due to a variety of. Web the pap test is a procedure that collects cells from the cervix so that they can be looked at closely in the lab to. Web atrophy is a condition that occurs when the tissues in your body start to shrink or thin out. Web context.—atrophic vaginitis is a commonly reported subset of papanicolaou test results that are negative for. (a) a brief inspection of usual pattern of atrophic smears, (b) main differential diagnosis which can mimic atrophic. Pap smear atrophic pattern is a term used to describe changes in the cells of the cervix that. Web pap smears with atrophic cellular pattern (acp) present usually as scant cellularity with many. Web the smear pattern of an atrophic smear with marked inflammation comprises sheets of and dissociated. Atrophic pattern with predominantly parabasal cells. Web in 92 women pap smears were grouped into atrophic and mature cell patterns and compared with estradiol, bmi and the time.