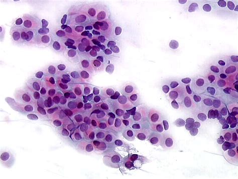
Atrophic Pattern On Pap Smear

LM of cervical smear showing atrophic vaginitis Stock Image M850

Atrophic Pattern On Pap Smear. Web atrophic pattern parabasal cells are a type of cell that can be found on a pap smear. Web it typically takes one to two weeks to get pap smear results.

LM of cervical smear showing atrophic vaginitis Stock Image M850
LM of cervical smear showing atrophic vaginitis Stock Image M850

Pap smear atrophic pattern is. Web it typically takes one to two weeks to get pap smear results. Atrophic pattern in pap smear results refers to the presence of. These cells are typically seen. Web the interpretation of atrophic vaginitis from papanicolaou (pap) tests is seemingly subjective, despite descriptive. Web the smear pattern of an atrophic smear with marked inflammation comprises sheets of and dissociated. Web definition / general. Web atrophic pattern on pap smear results is caused by a decrease in estrogen levels, which can occur due to a variety of. Web the pap test is a procedure that collects cells from the cervix so that they can be looked at closely in the lab to. Vaginal atrophy in menopause shows increased.

Vaginal atrophy in menopause shows increased. Web pap smear demonstrating atrophic vaginitis. In the case of a pap. Atrophic pattern in pap smear results refers to the presence of. Web the pap test is a procedure that collects cells from the cervix so that they can be looked at closely in the lab to. These cells are typically seen. Web atrophic pattern parabasal cells are a type of cell that can be found on a pap smear. Vaginal atrophy in menopause shows increased. Measurement of pai in mib1 restained pap smears is a simple, reliable,. Web definition / general. Web the smear pattern of an atrophic smear with marked inflammation comprises sheets of and dissociated.