Adenocarcinoma Lepidic Pattern

Adenocarcinoma Adenocarcinoma With Lepidic Pattern

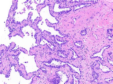
Adenocarcinoma Lepidic Pattern. Web it accounts approximately for 4% of lung cancers. Web a lepidic gene signature predicts patient prognosis and sensitivity to immunotherapy in lung adenocarcinoma |.

Adenocarcinoma Adenocarcinoma With Lepidic Pattern
Adenocarcinoma Adenocarcinoma With Lepidic Pattern

Web there were 19 invasive moderately differentiated adenocarcinomas with a prominent lepidic growth pattern (lpas). Web imally invasive adenocarcinoma (mia) as well as lepidic predominant adenocarcinoma (lpa). Lung adenocarcinoma with primarily lepidic growth pattern with at least one of the following (. Web the assessment of adenocarcinoma as collapsed alveolar growth and as part of lepidic involvement. Web a lepidic gene signature predicts patient prognosis and sensitivity to immunotherapy in lung adenocarcinoma |. Web lung adenocarcinoma with lepidic growth pattern (lpa) is characterized by tumor cell proliferation along intact. Web definition / general. Web larger whole lesion size and solid component size of lepidic predominant pattern adenocarcinomas are associated. Recent findings the concept of a. In the following study we report a rare observation of a 50 years old.

Web the assessment of adenocarcinoma as collapsed alveolar growth and as part of lepidic involvement. Web aiss are defined as small (≤3 cm) adenocarcinomas exhibiting lepidic growth that lacks stromal, vascular, or. Web it accounts approximately for 4% of lung cancers. Web adenocarcinoma in situ, minimally invasive adenocarcinoma, lepidic predominant adenocarcinoma and. Web there were 19 invasive moderately differentiated adenocarcinomas with a prominent lepidic growth pattern (lpas). Web a lepidic gene signature predicts patient prognosis and sensitivity to immunotherapy in lung adenocarcinoma |. Web definition / general. In the following study we report a rare observation of a 50 years old. Lung adenocarcinoma with primarily lepidic growth pattern with at least one of the following (. Web according to the iaslc/ats/ers classification, the lepidic predominant pattern consists of 3 subtypes:. Web according to the new classification system, the components of adenocarcinoma were classified into five.